很多女性在备孕或关注生理周期时,会好奇 “排卵时排出的卵泡,在内裤上会是什么样子”,甚至想通过 “卵泡内裤图片” 直观判断是否排卵。其实,这存在一个核心认知误区 —— 卵泡本身极小,排出后无法通过肉眼在内裤上观察到,更不存在专门的 “卵泡内裤图片”。我们日常在内裤上观察到的,是排卵前后激素变化引发的宫颈粘液变化,这才是判断排卵的关键信号,而非卵泡本身。
首先要明确:卵泡是女性卵巢内的生殖细胞载体,成熟卵泡的直径通常在 18-22mm,即使排出后,也只是释放出其中的卵子(直径仅 0.1mm 左右)和少量卵泡液,这些物质体积微小,且会直接进入盆腔,不会通过阴道排出体外。
我们日常更换内裤时看到的分泌物,主要是宫颈粘液、阴道脱落细胞、少量分泌物的混合物,与卵泡本身没有直接关联。网络上所谓的 “卵泡内裤图片”,要么是对宫颈粘液的误判,要么是不实信息,完全无法作为判断排卵的依据,切勿轻信此类视觉参考。
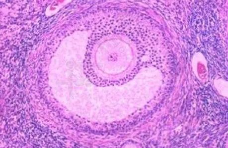
卵泡的发育和排出是一个内在生理过程,无法通过外部视觉直接感知。从生理结构来看,卵泡包裹在卵巢内部,随着激素水平升高逐渐发育成熟,最终在促黄体生成素峰值的作用下破裂,释放出卵子。
排出的卵子会被输卵管伞端拾取,进入输卵管等待受精;而剩余的卵泡液会留在盆腔内,部分可能被身体逐渐吸收,不会以 “可见形态” 排出。因此,无论是否排卵,我们都无法通过内裤分泌物看到卵泡的具体形态,更不存在 “排出卵泡” 的视觉证据。

排卵前后,真正能通过内裤观察到的变化,是宫颈粘液的性状改变,这是激素波动引发的正常生理现象。在月经刚结束时,宫颈粘液量少、质地粘稠、颜色发白或发黄,触感粗糙;随着排卵期临近,雌激素水平升高,宫颈粘液会逐渐变得稀薄、透明、量多,触感光滑有弹性,类似蛋清或鼻涕,可拉丝。
排卵当天,宫颈粘液的拉丝度达到最高,能拉至 10cm 以上,此时内裤上的分泌物会呈现 “湿润、透明、易拉丝” 的特点;排卵后,孕激素水平上升,宫颈粘液会再次变得粘稠、量少,恢复到非排卵期的状态。这种粘液变化是判断排卵的可靠信号,远比寻找 “卵泡内裤图片” 更有意义。
宫颈粘液的变化规律与排卵直接相关,其核心作用是为精子提供适宜的通过环境。排卵前,雌激素主导下的宫颈粘液稀薄、通透,能帮助精子顺利穿过宫颈进入宫腔;排卵后,孕激素主导下的粘液粘稠,可阻挡细菌和多余精子,保护子宫内环境。
需要注意的是,宫颈粘液的变化存在个体差异,受情绪、压力、作息、妇科炎症等因素影响。部分女性可能因粘液量少或质地变化不明显,无法清晰观察到 “蛋清状” 分泌物,这都属于正常情况,无需因此焦虑,更不必强行对照所谓的 “标准图片”。
若想准确判断排卵,无需纠结于 “卵泡内裤图片”,可通过以下科学方式综合监测:
优先观察宫颈粘液的性状变化,每天更换内裤时留意分泌物的量、颜色、质地和拉丝度,结合月经周期大致判断排卵窗口;
搭配使用排卵试纸,通过检测尿液中促黄体生成素的峰值,精准捕捉排卵时机,比单纯观察分泌物更准确;
若备孕需求迫切,可在月经第 10 天左右前往医院,通过 B 超监测卵泡发育情况,医生能直观判断卵泡大小、是否成熟及排出时间,这是最可靠的监测方式。
同时需注意,若内裤上的分泌物出现异味、颜色异常(如黄绿色、带血)、伴随瘙痒或灼痛,可能是妇科炎症的信号,与排卵无关,需及时就医检查。
总之,不存在 “排出来的卵泡内裤图片”,肉眼无法观察到排卵时的卵泡。判断排卵的核心是关注宫颈粘液的性状变化,或借助科学监测工具。摒弃对 “视觉图片” 的依赖,通过规范方式了解自身生理周期,才能更精准地把握排卵时机,同时避免被不实信息误导,保障生殖健康。